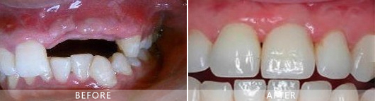
单颗牙缺失
因外力导致的牙齿缺失,严重影响牙齿美观


多颗牙缺失
因外力或者牙齿过早脱落导致的牙齿缺失问题,影响旁牙生长以及美观
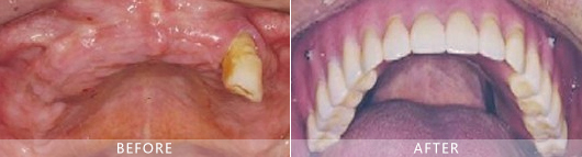
全口牙缺失
无法正常咀嚼,嘴唇因无牙齿支撑导致变形,影响消化系统导致全身健康问题

单颗牙缺失
因外力导致的牙齿缺失,严重影响牙齿美观


多颗牙缺失
因外力或者牙齿过早脱落导致的牙齿缺失问题,影响旁牙生长以及美观
全口牙缺失
无法正常咀嚼,嘴唇因无牙齿支撑导致变形,影响消化系统导致全身健康问题

咀嚼无力
牙齿缺失导致咀嚼无力,无法正常饮食,易导致消化系统疾病


牙周疾病
牙齿缺失致使余留牙齿造成创伤而产生牙周膜水肿、牙龈萎缩、牙槽骨吸收、牙齿松动等牙周疾病
提前衰老
由于缺牙导致长期单边咀嚼,将造成面部肌肉变形,脸型不对称,容易衰老


消化疾病
牙齿缺失不能充分咀嚼食物,影响正常笑话和吸收,一定程度上加重了肠胃的压力
记忆衰退
牙齿缺损会使人的咀嚼力度、次数下降,咀嚼能力下降导致相关脑细胞衰退,间接使人记忆力减退

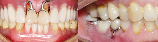
活动义齿
咀嚼能力较差,有明显的异物感,佩戴不舒适,露出金属卡环,美观度大打折扣


固定义齿
使用寿命较短,切容易磨损对合牙,适应症较窄
健康检查
全方位三合一口腔CT术前口腔检查与身体健康检查


量身设计
计算机3D数字化设计量身定制方案
微创无痛植入种植体
在缺失牙位置牙槽骨上定位,将高品质的种植体植入缺失牙位置的牙槽骨内


完美牙冠美学恢复
待2-3个月种植体与颌骨骨结合后,在种植体上安装全瓷牙冠即可

原理科学
天然牙将口腔内的咀嚼压力通过牙根传递到牙槽骨,而舒感种植牙将咀嚼压力通过人工牙根(种植体)传递到牙槽骨,生物力学原理相同,故能承受强大的力量,咀嚼效率较传统假牙有大幅度提高。
稳固牢靠
种植牙和真牙一样包括牙根和牙冠两个部分,种植体(人工牙根)用生物相容性极好的纯钛金属制作而成,与牙槽骨通过骨结合连接在一起,坚固可靠,可像真牙一样扎根在患者的口腔里,根深蒂固,所以稳固。


保护邻牙
种植牙在缺失牙的牙槽骨内植入人工牙根,并在人工牙根上安装上烤瓷牙冠,有自己独立的牙根固位,不需要依附邻牙来固位,对健康的邻牙不仅没有伤害,还可以防止由于缺牙导致邻牙的移位或牙齿松动。
保护牙槽骨
种植牙对整个牙槽骨起到很好的保护作用,人的牙齿和大树一样,大树根深蒂固才能枝繁叶茂,牙齿缺失后牙槽骨就像水土流失,牙槽骨会出现不同程度的废用性萎缩和吸收。种植牙的人工牙根深植于牙槽骨中,因此能有效防止牙槽骨萎缩和牙槽骨吸收。


舒适美观
种植牙不需要借助基托与卡环等结构来固位,外观和功能上几乎与真牙一样,在口腔内无异物感,有利于保持口腔卫生,舒适美观,使你忘掉假牙的存在。当然,种植牙维护也要像真牙一样的爱惜,才能尽可能的延长种植牙的使用时间。
适应症范围更广
随着种植牙技术的不断发展,种植牙的适应症不断拓宽,几乎缺失牙都可种植修复。因为种植牙是个独立的种植体,不需要依附邻牙的基托或卡环,即使是牙槽骨骨量不足,也可以通过植骨的方式解决,即使在全口均无牙齿的情况下,仍然可以通过人工牙根的植入,让全口牙缺失的患者获得固定义齿修复的机会。

世界牙科联盟(FDI)国际会员
中华口腔医学会民营委员会委员
四川省口腔医学会影像专委会委员
(CBCT)数字化导航牙种植资深医师
口腔微创与显微技术推广医师
中华口腔医学会(CSA)资深会员
四川省口腔医学会种植专委会委员
南充市民营企业家协会常务理事
口腔多学科综合治疗资深医师
远大口腔(南充 · 高坪分院)院长